管理医療機器 歯科切削加工用セラミックス 医療機器認証番号:304AFBZX00106000
カタナ® ジルコニア ONE For IMPLANT
セレック用
短時間でハイブリッドアバットメントクラウンの製作が可能な
ALL in ONEブロック
特長
製品構成
ダウンロード

*1 適合するインプラントシステムについては、本ページの「ブロックサイズ」の項目をご確認ください。
マルチレイヤード構造による自然な色調再現

クイックワークフロー

1 加工時間は補綴装置の形状や加工モードにより異なります。
2 本製品はセレック専用品です。加工時間は補綴装置の形状や加工モードにより異なります。なお、補綴装置デザイン、切削加工、焼成に必要なソフトウェア情報は以下の通りです。「カタナ® ジルコニア ONE」For IMPLANT:CEREC Software 5.2.13 / CEREC Software 5.3.4 / inLab CAM Software 22.7/ inLab CAM Software 24.1 / inLab CAD Software 22.4.1以降※上記ソフトウェアバージョン以下の場合、ソフトウェアのバージョンアップが必要となります。本製品の最新ソフトウェアバージョン情報につきましては、デンツプライシロナ社へご確認ください。
3 乾式での加工を推奨します。湿式で加工する場合は、シリカ系ガラスセラミックス(リチウムシリケート系ガラス等)の加工に用いた冷却水を使用すると焼成後に本品の透光性が低下する可能性があります。加工前に加工チャンバー、冷却水タンク、タンク内フィルターの清掃および冷却水の入れ替えを必ず行ってください。また、セレック スピードファイア以外の焼成炉を使用し、湿式で加工する場合は、加工前にブロックを焼成炉内で200℃で10分間乾燥させてください。
ハイブリッドアバットメントクラウンの製作が可能

「カタナ® ジルコニア ONE」For IMPLANTは、ハイブリッドアバットメントクラウン(スクリュー固定式クラウン)を製作するためのブロックです。本製品には、あらかじめTiベースに適合するアクセスホールが付与されているため、ハイブリッドアバットメントクラウンを短時間で製作することが可能です。
VITA Classical A1-D4® シェードガイドに基づいた10種類のシェードをご用意

「カタナ® ジルコニア ONE」 For IMPLANTには、 A1、A2、A3、A3.5、B1、B2、C1、C2、D2、NWの10種類のシェードがあります。 本製品は、臼歯部における研磨仕上げの症例を想定して色調設計しています。*1, *2
*1 臼歯部の補綴装置の場合。前歯部の場合は、グレーズ法による仕上げと、「セラビアン®ZR」 FC ペーストステインによるキャラクタライゼーションをお勧めします。
*2 写真の補綴装置は、すべて研磨法で仕上げています。
ブロックサイズ
本製品には、SとLの2種類のサイズがあります。SとLの違いはアクセスホールの直径でブロックサイズは同一です。



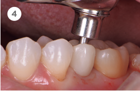
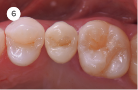
「カタナ® ジルコニア ONE For IMPLANT」を用いた臨床例
提供:サークル歯科クリニック 総院長 中村陽介先生







カタナ® ジルコニア ONE
For IMPLANT(S)

カタナ® ジルコニア ONE
For IMPLANT(L)
カタナ® ジルコニア ONE
For IMPLANT(S)
注文番号 206440518
カタナ® ジルコニア ONE
For IMPLANT(L)
注文番号 206440519
◇注文番号は株式会社モリタの商品コードです。ご注文の際は注文番号と商品名を歯科材料店へご連絡ください。