Case 2

前歯接着ブリッジへの適用
(パナビア® V5)

臨床写真提供:近藤歯科クリニック 近藤 康弘 先生(岡山県倉敷市開業)

使用用途
接着ブリッジ、接着スプリントの接着 詳しくは、電子添文等をご確認ください。

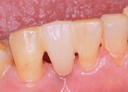
支台歯形成後

最終硬化

  • 支台歯形成前

    欠損部は下顎右側側切歯、支台歯は右側下顎犬歯及び右側中切歯
  • 支台歯形成後

  • 補綴装置

    12%金銀パラジウム合金と硬質レジン前装ポンティックによる前歯接着ブリッジ
  • 補綴装置の前処理

    サンドブラスト処理後、補綴装置被着面に金属接着用プライマーを塗布、エアブロー
  • 支台歯の前処理

    エナメル質を「K エッチャント シリンジ」で10秒処理、水洗、乾燥
  • 支台歯の前処理

    「パナビア® V5 トゥース プライマー」を20秒処理、エアブロー
  • ペースト塗布

    唇側面から見える金属色を遮蔽するため「パナビア® V5 ペースト」オペークを使用
  • 装着

    装着後、余剰セメントをガーゼ、小筆等で除去
  • 光照射

    マージン部を10秒光照射
  • 最終硬化

    3分間保持
  • 最終硬化後

    最終硬化後の舌側面

POINT

オペークは化学重合型ですが、
マージン部等最表層は光重合により硬化可能です。