管理医療機器 歯科切削加工用レジン材料
医療機器認証番号:302AFBZX00019Z00
小臼歯対応
CAD/CAM冠用材料(II)
ユニバーサル用

Point 1
インレー専用ブロックの選択
インレーに!透明性が高い OE
OEは、従来の単層シェードと比較し、透明性が向上。
インレーの装着時に、窩洞マージンの移行部が目立ちにくいシェードです。
また、従来比で彩度も高く、口腔内での白浮を抑制しています。
※透明度、彩度は各色度板のシェードに準じます。
測定条件:
測定装置:分光測色計
試験片厚み(彩 度)1.20 ± 0.01mm (C*)
(透明度)1.20 ± 0.01mm ※白および 黒背景のL*値の差(ΔL*(W/B))
<データ測定>クラレノリタケデンタル株式会社 測定条件などにより数値は異なります。
幅広いシェードに馴染みやすいから、在庫管理がシンプルに!
OEは、透明性が高いため、従来の単層シェードと比較し、幅広いシェードに馴染みやすいシェードです。
インレー用ブロックの色調選択肢がシンプルになり、ブロックの在庫管理の効率化も期待できます。
人工歯への適合比較※
※人工歯を用いたシミュレーションであり、天然歯の色調とは異なります。模型製作:カナレテクニカルセンター
高い研磨性と滑沢耐久性
「カタナ® アベンシア®」シリーズ※1 は、フィラーを高密度に圧縮し、
レジンモノマーを均一に含浸、加熱重合する当社独自の製造技術を採用しています。
これにより、優れた研磨性と滑沢耐久性を実現しています。
研磨前後の光沢比較

※カーボランダムポイントにて形態修正後、
シリコンポイント、研磨ペーストを用いて研磨
優れた滑沢耐久性

試験条件:
荷重 :250g
歯磨材 :デンタークリアMAX(ライオン)、10wt%スラリー
歯ブラシ :ビトイーン山切り、カットレギュラー(ライオン)
クラレノリタケデンタル(株)測定:条件などにより数値は異なります。
独自の製造技術
フィラーを高密度に配合
Point 2
インレー製作に適した加工システムの選択
サポートピンを複数設定可能!加工時の脱落を低減
「hyperDENT®」のインレー加工テンプレートでは、くり抜き量を低減することで、サポートピンを複数設定することが可能です。1本の場合に比べ、加工時の負荷によりサポートピンが破折し、加工物が脱落するリスクを低減しています※。
※サポートピンが1本でも破折しないケースもあります。
独自の加工プログラムで、加工時間を短縮
「hyperDENT®」のインレー加工テンプレートでは、独自のプログラムにより、加工効率を上げ、加工時間を短縮しています。
加 工 例
「hyperDENT®︎」と「歯科用ミリングマシン MD-500」を用いて加工後、未調整で模型にセット
0.6mmのミリングバーで、裂溝や内面を精密加工
「hyperDENT® 」のインレー加工テンプレートでは、「カタナ® ミリングバー」の2.0mm、1.0mmに併せて、「カタナ® ドリル」の0.6mmを使用しています。0.6mmのミリングバーを裂溝部分の再現や、内面の調整等に用いることで、より高精度な加工が可能です。また、「カタナ® ミリングバー」や「カタナ® ドリル」は、ダイヤモンドコートにより、長寿命化を実現しています。
剛性の高い機体で、高速×高精度を実現
「歯科用ミリングマシン MD-500」、「歯科用ミリングマシン MD-500S」は、キヤノン電子株式会社の高剛性思想を受け継いでいます。X、Y、Z軸を1フレームベースに集中配置することで加工物のたわみ・ブレを抑え、ドリルをチャックナットで締め付けるホルダチャック方式を採用し、高いドリル把持力により、回転によるブレが軽減されています。これらにより高精度な加工が可能です。
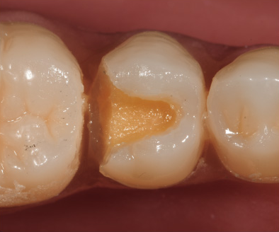
臨 床 例
「カタナ® アベンシア® ブロック 2」OE 使用
-

1.
窩洞形成後
-

2.
「 カタナ® アベンシア® ブロック 2」
OEで製作した小臼歯インレー
-

3.
試適後、「カタナ® クリーナー」を補綴装置と窩洞に塗布し、10秒以上擦り塗り、水洗※1・乾燥
-

4.
窩洞に「クリアフィル® ユニバーサルボンド Quick ER」塗布後、待ち時間なしでエアブローで5秒以上乾燥※2
-

5.
「 SA ルーティング® Multi」にて接着、1か所につき1~2秒の光照射により余剰セメントを除去※3
-

6.
最終硬化(5分保持)※4
本術式は「クリアフィル® ユニバーサルボンド Quick ER」電子添文等記載の「セメント接着における補綴修復物の処理」「セメント接着における窩洞、及び支台歯の処理」、「カタナ® クリーナー」電子添文等記載の「<補綴装置(例えば、クラウン、間接コア)、歯科用ポスト等に対して適用する場合>、<窩洞、支台歯に対して適用する場合>」、及び「SA ルーティング® Multi」電子添文等記載の「金属、ジルコニア/アルミナ等の金属酸化物系セラミックス、無機物フィラーを含むレジン系材料、シリカ系ガラスセラミックス、歯科用陶材で作製したクラウン、ブリッジ、インレー、アンレーの接着」を示します。
写真提供:八重洲歯科診療所 中村 昇司 先生
※1 色が完全になくなるまで水洗してください。
※2 バキュームで吸引しながら液面が動かなくなるまで乾燥してください。
※3 化学硬化により除去する際は2~4分保持してください。
※4 光を透過する補綴装置の場合はクラウン全体への光照射による最終硬化も可能です。光照射の条件は「SA ルーティング® Multi」の電子添文等をご確認ください。